
マウスピース型矯正治療例

マウスピース型矯正装置【インビザライン・薬機法対象外】の症例です。カスタムメイドマウスピース型装置による矯正治療には適応症があります。これをしっかり見分ける事でワイヤー型装置と同程度の仕上がりで治療を行う事ができます。
ここでは、マウスピース型矯正装置(インビザライン・薬機法対象外)の適応症例を複数掲載しています。ワイヤー装置など他の矯正装置は併用せず(歯科矯正用アンカースクリューは使用)、マウスピース単独で治療が完了しています。同じような歯並びの場合は、マウスピース型矯正装置でも十分治る可能性があります。
※マウスピース型矯正治療を希望の方は必ずお読み下さい。
マウスピース型矯正装置(インビザライン)は医薬品医療機器等法(薬機法)の承認を受けいていない未承認医薬品です。マウスピース型矯正装置(インビザライン)はアライン・テクノロジー社の製品であり、インビザライン・ジャパン社を介して入手しています。
国内にもマウスピース型矯正装置として医薬品医療機器等法(薬機法)の承認を受けいているものは複数存在します。
マウスピース型矯正装置(インビザライン)は1998年にFDA(米国食品医薬品局)により医療機器として認証を受けています。
マウスピース型(インビザライン)は完成物薬機法対象外の矯正歯科装置であり、ごく希ですが、副作用が起きてしまった場合などは承認薬品を対象とする医薬品副作用被害救済制度の対象外となる場合があります。
目次
- 1 重度叢生・20代女性・抜歯
- 2 上顎前突・20代男性・抜歯あり
- 3 重度叢生・20代女性・抜歯あり
- 4 30代女性・マウスピース型装置・上あご突出型
- 5 捻転歯・30代女性・抜歯あり
- 6 重度叢生・30代女性・抜歯あり
- 7 上下顎前突・30代男性・抜歯あり
- 8 軽度叢生・20代女性
- 9 叢生・30代女性・前歯抜歯
- 10 八重歯・30代女性
- 11 叢生・30代女性・IPR
- 12 重度叢生・高校生女子・IPR
- 13 重度叢生・30代女性・抜歯あり
- 14 重度叢生・20代女性・抜歯あり
- 15 八重歯・高校生女子・抜歯あり
- 16 叢生・高校生女子
- 17 クロスバイト・大学生女性
- 18 叢生・クロスバイト・大学生女性
- 19 前歯のねじれ・30代女性
- 20 上顎前突・大学生女性
- 21 八重歯・大学生女子・追加アライナーなし
- 22 【矯正歯科治療に伴うリスクや副作用】
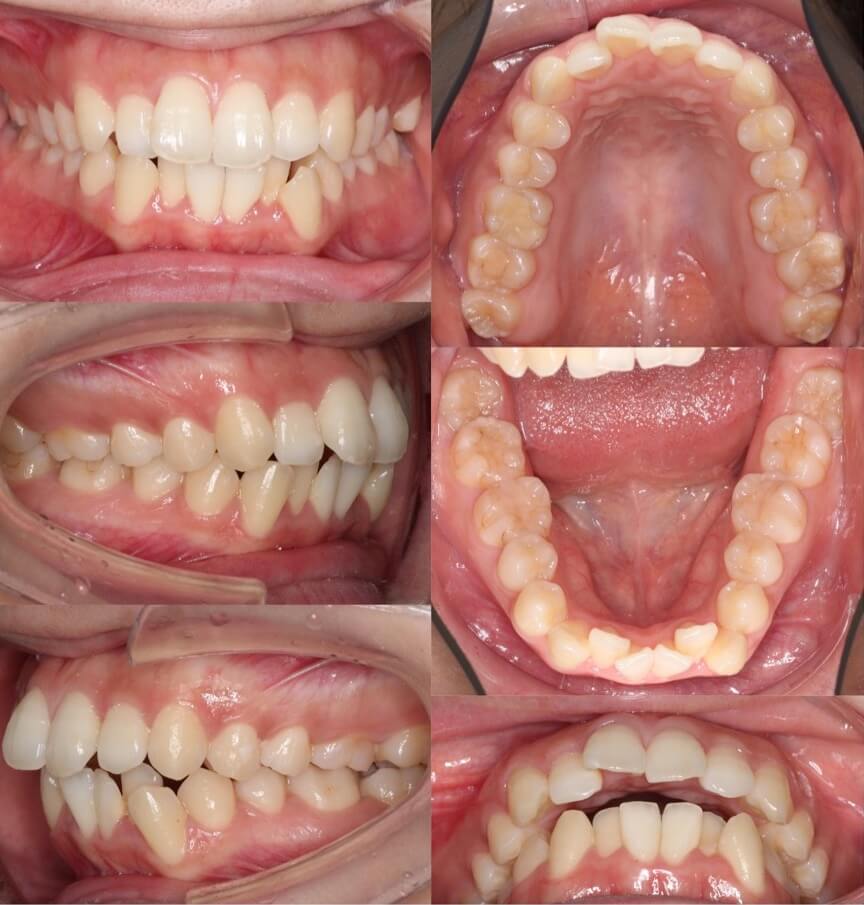
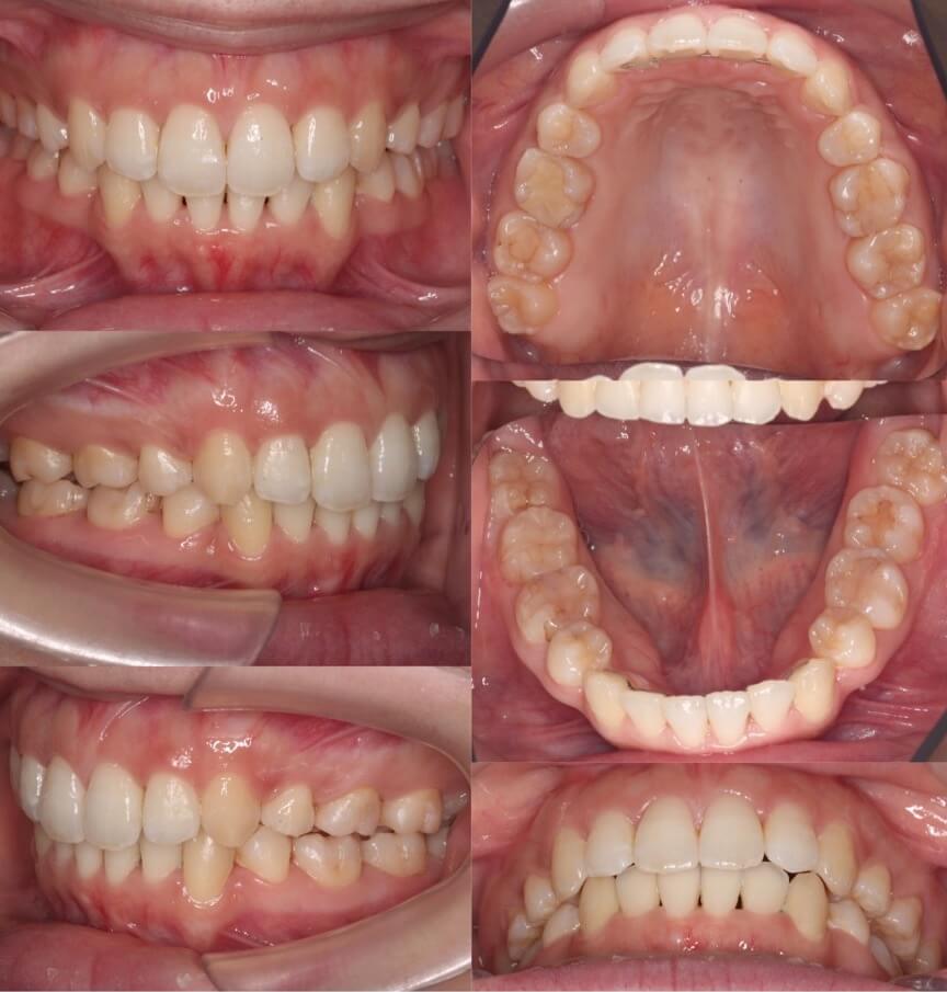
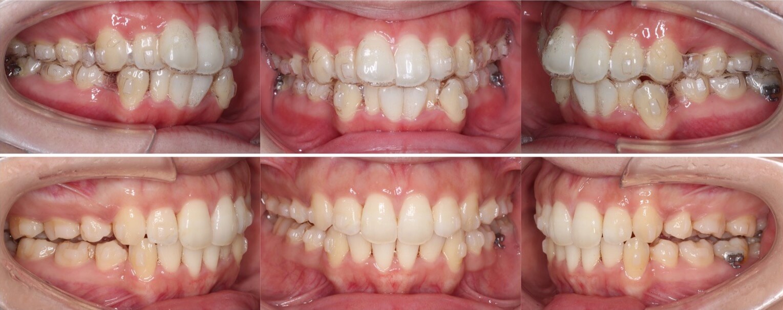
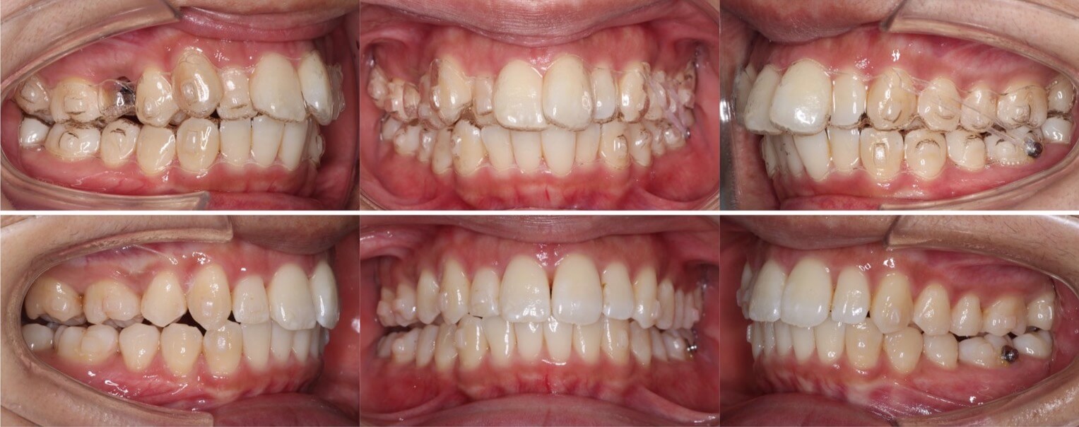
重度叢生・20代女性・抜歯
<症例概要>
主訴:歯並びのがたつき
住まい:千葉県船橋市
年齢・性別:20代女性
症状:上下顎前突・下顎後退・叢生
治療方針:抜歯空隙閉鎖
治療装置:マウスピース型矯正装置(アライナー装置)・セクショナルワイヤー
抜歯:上下左右4番(計4本)
治療期間:2年10か月
アライナー枚数:53+45+18+24ステージ (7日交換)
リテーナー:上下フィックスタイプ+クリアタイプ
治療費用:990,000(税込)
代表的副作用:痛み・治療後の後戻り・歯根吸収・歯髄壊死・歯肉退縮
▶︎その他の副作用
【治療シミュレーション】
抜歯空隙を閉鎖することで、上の前歯の後方移動、下の前歯の叢生を解消します。固定源の補助としてII級ゴムを使用します。
※マウスピース型矯正歯科装置(インビザライン)は、完成物薬機法対象外の矯正装置であり、医薬品副作用被害救済制度の対象とはならない可能性があります。

小臼歯抜歯空隙を閉鎖すると奥歯の後ろ奥行きができるため親知らずが生えてくることがあります。今回は虫歯もなかったため、傾いて生えてきた右下親知らずはワイヤー矯正装置を部分的を装着し並べました。マウスピースではつかむことができない歯は、ワイヤー矯正装置を併用することで矯正力を補助することができます。
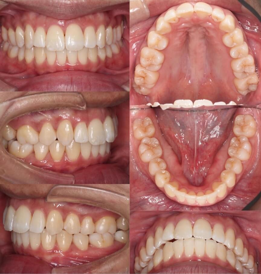
上顎前突・20代男性・抜歯あり
<症例概要>
主訴:前歯の前突
住まい:千葉県八千代市
年齢・性別:20代男性
症状:下顎後退・上下叢生
治療方針:抜歯空隙閉鎖
治療装置:マウスピース型矯正装置(アライナー装置)
抜歯:右上5番
治療期間:2年2か月
アライナー枚数:42+32+30ステージ (7日交換)
リテーナー:上下フィックスタイプ+クリアタイプ
治療費用:990,000(税込)
代表的副作用:痛み・治療後の後戻り・歯根吸収・歯髄壊死・歯肉退縮
▶︎その他の副作用
【治療シミュレーション】
右側は5番の抜歯空隙閉鎖、左側は後方移動と左右非対称の動きを行なっています。ですが前歯はまっすぐ後ろに下げます。
※マウスピース型矯正歯科装置(インビザライン)は、完成物薬機法対象外の矯正装置であり、医薬品副作用被害救済制度の対象とはならない可能性があります。

上の奥歯の位置に左右差がある時は、1本抜歯方針をとることもあります。左右非対称の歯の動きになるため一見すると難しくなるように見えますが、マウスピース型矯正治療では治しやすく有利な治療方針となります。
重度叢生・20代女性・抜歯あり
<顔のビフォーアフター>


<症例概要>
主訴:前歯のがたつき
住まい:千葉県千葉市
年齢・性別:20代女性
症状:上下叢生
治療方針:抜歯空隙閉鎖
治療装置:マウスピース型矯正装置(アライナー装置)
抜歯:上左右4番・左下4番・右下5番(計4本)
治療期間:2年10か月
アライナー枚数:65+47+19+17ステージ (7日交換)
リテーナー:上下フィックスタイプ+クリアタイプ
治療費用:990,000(税込)
代表的副作用:痛み・治療後の後戻り・歯根吸収・歯髄壊死・歯肉退縮
▶︎その他の副作用
【治療シミュレーション】
正中線を合わせながら、抜歯空隙を閉鎖しています。
※マウスピース型矯正歯科装置(インビザライン)は、完成物薬機法対象外の矯正装置であり、医薬品副作用被害救済制度の対象とはならない可能性があります。

このような八重歯がある重度のがたつきは、抜歯を併用したマウスピース型矯正治療でも十分治療が可能であり、適応症です。正中線も上手く合わせることに成功しました。
30代女性・マウスピース型装置・上あご突出型

<顔のビフォーアフター>





<症例概要>
主訴:歯並びのでこぼこ・口が閉じづらい
年齢・性別:30代女性
住まい:千葉県八千代市
症状:叢生・上下顎前歯唇側傾斜
治療方針:抜歯空隙の閉鎖(中等度固定)
治療装置:マウスピース型矯正装置(アライナー装置)
抜歯:上顎第一小臼歯・下顎第二小臼歯
治療期間:1年10か月
アライナー枚数:56+27+16ステージ
リテーナー:上下プレートタイプ+フィックスタイプ
治療費用:990,000(税込)
代表的副作用:痛み・治療後の後戻り・歯根吸収・歯髄壊死・歯肉退縮
▶︎その他の副作用
【治療シミュレーション】
上下の抜歯スペースに犬歯から順番に移動させる治療計画です。
※マウスピース型カスタムメイド矯正歯科装置は完成物薬機法対象外の矯正装置であり、医薬品副作用被害救済制度の対象とはならない可能性があります。

上下の強いでこぼこもある上下顎前突症例です。普通、ワイヤー型矯正装置よりマウスピース型矯正装置の方が奥歯の固定が弱く前歯の後ろへの移動量は少なくなってしまいます。ですが、このケースでは比較的軽度な前突であたため、マウスピース型矯正装置でも良好な治療結果を得る事ができました。
患者さんは完成後の歯並びには非常に満足していただけました。
捻転歯・30代女性・抜歯あり

<顔のビフォーアフター>

<症例概要>
主訴:前歯のガタガタ
住まい:千葉県八千代市
年齢・性別:30代女性
症状:上1番捻転・叢生・上顎前突
治療方針:抜歯空隙閉鎖
治療装置:マウスピース型矯正装置(アライナー装置)
抜歯:上第一小臼歯(計2本)
治療期間:2年2か月
アライナー枚数:60+33+14ステージ (7日交換)
リテーナー:上下フィックスタイプ+クリアタイプ
治療費用:990,000(税込)
代表的副作用:痛み・治療後の後戻り・歯根吸収・歯髄壊死・歯肉退縮
▶︎その他の副作用
【治療シミュレーション】
上のねじれている前歯をゆっくりと回しながら抜歯空隙を閉じていきます。ねじれている前歯には表裏にアタッチメントを設置しています。
※マウスピース型矯正歯科装置(インビザライン)は、完成物薬機法対象外の矯正装置であり、医薬品副作用被害救済制度の対象とはならない可能性があります。

一見難しそうに見えますが、前歯にねじれがあるケースは、マウスピース型矯正治療の一番の適応症です。ねじれをとる際に生まれる歯が沈む力と、後ろにされる際に生まれる歯が伸びようとする力が上手く相殺され、良い治療結果が生まれます。この効果が得られるのは中切歯【1番】のみです。逆に隣の側切歯【2番】にねじれの場合は、マウスピース型矯正で改善することは難しくなります。
重度叢生・30代女性・抜歯あり

<顔のビフォーアフター>





<症例概要>
主訴:前歯のガタガタ
住まい:千葉県八千代市
年齢・性別:30代女性
症状:上下顎重度叢生、右側シザーズバイト、過蓋咬合
治療方針:抜歯空隙閉鎖
治療装置:マウスピース型矯正装置(アライナー装置)
抜歯:上下第一小臼歯(計4本)
治療期間:2年2か月
アライナー枚数:60+50+20ステージ (7日交換)
リテーナー:上下フィックスタイプ+クリアタイプ
治療費用:990,000(税込)
代表的副作用:痛み・治療後の後戻り・歯根吸収・歯髄壊死・歯肉退縮
▶︎その他の副作用
【治療シミュレーション】
下の前歯の並べながら前歯の噛み合わせを同時に治していきます。
※マウスピース型矯正歯科装置(インビザライン)は、完成物薬機法対象外の矯正装置であり、医薬品副作用被害救済制度の対象とはならない可能性があります。

下の前歯が2本しか見えず、もう2本は完全に内側に入ってしまい2枚歯になっているケースです。実はでこぼこの量が多い方がマウスピース型装置での矯正治療の適応症です。
上下顎前突・30代男性・抜歯あり

<顔のビフォーアフター>





<症例概要>
主訴:八重歯
住まい:千葉県白井市
年齢・性別:30代男性
症状:下顎後退、上下顎前歯唇側傾斜
治療方針:抜歯空隙閉鎖
治療装置:マウスピース型矯正装置(アライナー装置)
抜歯:上下第一小臼歯(計4本)
治療期間:2年5か月
アライナー枚数:60+45+15ステージ (7日交換)
リテーナー:上下フィックスタイプ+クリアタイプ
治療費用:990,000(税込)
代表的副作用:痛み・治療後の後戻り・歯根吸収・歯髄壊死・歯肉退縮
▶︎その他の副作用
【治療シミュレーション】
抜歯して得られた隙間にできる限り前歯を後方移動します。
※マウスピース型矯正歯科装置(インビザライン)は、完成物薬機法対象外の矯正装置であり、医薬品副作用被害救済制度の対象とはならない可能性があります。

右上の八重歯になっている犬歯がかなり高い位置にあったため、ボタンをつけてゴムをかけることでゆっくりと下に引っ張ってきました。マウスピースは歯を引っ張る事は苦手としています。このようなケースでは、患者さんの顎間ゴムの協力が大事になってきます。
軽度叢生・20代女性

<顔のビフォーアフター>





<症例概要>
主訴:前歯のでこぼこ
住まい:千葉県四街道市
年齢・性別:20代女性
症状:上下顎軽度叢生・軽度開咬
治療方針:上顎後方移動IPR
治療装置:マウスピース型矯正装置(アライナー装置)
治療期間:1年4か月
アライナー枚数:43+24ステージ (7日交換)
リテーナー:上下フィックスタイプ+クリアタイプ
治療費用:990,000(税込)
代表的副作用:痛み・治療後の後戻り・歯根吸収・歯髄壊死・歯肉退縮
▶︎その他の副作用
【治療シミュレーション】
奥歯を先に動かし空隙を作った後に前歯を動かす計画です。
※マウスピース型矯正歯科装置(インビザライン)は、完成物薬機法対象外の矯正装置であり、医薬品副作用被害救済制度の対象とはならない可能性があります。

このような歯並びは、典型的なマウスピース型矯正装置向きの症例になります。ワイヤー矯正治療よりも治療期間が短く、1年ちょっとで治療が完了することがほとんどです。こういった歯並びにはマウスピース型矯正装置を積極的にお勧めいたします。
叢生・30代女性・前歯抜歯

<顔のビフォーアフター>





<症例概要>
主訴:前歯のでこぼこ
住まい:千葉県八千代市
年齢・性別:20代女性
症状:上側切歯矮小・叢生・クロスバイト・上下顎前突
治療方針:抜歯空隙閉鎖・IPR
治療装置:マウスピース型矯正装置(アライナー装置)
抜歯:上側切歯・下第一小臼歯(計4本)
治療期間:1年4か月
アライナー枚数:42+23ステージ (7日交換)
リテーナー:上下フィックスタイプ+クリアタイプ
治療費用:990,000(税込)
代表的副作用:痛み・治療後の後戻り・歯根吸収・歯髄壊死・歯肉退縮
▶︎その他の副作用
【治療シミュレーション】
前歯を抜歯した場合は、隙間を閉じるのが早くマウスースの枚数が少なくなります。
※マウスピース型矯正歯科装置(インビザライン)は、完成物薬機法対象外の矯正装置であり、医薬品副作用被害救済制度の対象とはならない可能性があります。

矮小歯の場合は前歯を抜歯する事はあります。一般的には前から4番目の歯を抜歯する事が多いのですが、歯のサイズが小さい場合は、上手く並べる事ができないためあえて2番目の歯を抜歯することもあります。この場合、見た目を良くするために犬歯を少し研磨して形を合わせることで違和感をなくします。
八重歯・30代女性

<顔のビフォーアフター>





<症例概要>
主訴:前歯のでこぼこ・八重歯
住まい:千葉県香取郡
年齢・性別:20代女性
症状:上下顎叢生
治療方針:上下歯列拡大・IPR
治療装置:マウスピース型矯正装置(アライナー装置)
抜歯:なし
治療期間:1年6か月
アライナー枚数:27+22+21 ステージ (7日交換)
リテーナー:上下フィックスタイプ+クリアタイプ
治療費用:990,000(税込)
代表的副作用:痛み・治療後の後戻り・歯根吸収・歯髄壊死・歯肉退縮
▶︎その他の副作用
【治療シミュレーション】
犬歯のねじれを顎間ゴムをゆっくりと歯を動かし確実に改善しました。
※マウスピース型矯正歯科装置(インビザライン)は、完成物薬機法対象外の矯正装置であり、医薬品副作用被害救済制度の対象とはならない可能性があります。

マウスピース型矯正装置は、円錐状の歯を回転させる事を得意としていません。よって、右上のねじれている犬歯をアタッチメントをつけたり顎間ゴムをかけたりするなどをして時間をかけて改善させました。
叢生・30代女性・IPR

<顔のビフォーアフター>





<症例概要>
主訴:叢生
年齢・性別:30代女性
住まい:千葉県八千代市
症状:叢生・クロスバイト・上顎前突・正中のズレ
治療方針:上顎後方移動、ストリッピング
治療装置:マウスピース型矯正装置(アライナー装置)
治療期間:1年9か月
アライナー枚数:41+24+15ステージ(5〜7日交換)
リテーナー:上下クリアタイプ+フィックスタイプ
治療費用:990,000(税込)
代表的副作用:痛み・治療後の後戻り・歯根吸収・歯髄壊死・歯肉退縮
▶︎その他の副作用
【治療シミュレーション】
上下全体にIPRを行ったスペースを有効利用して歯を並べています。
※マウスピース型矯正歯科装置(インビザライン)は、完成物薬機法対象外の矯正装置であり、医薬品副作用被害救済制度の対象とはならない可能性があります。

でこぼこと前歯の出っ張りを、上の歯並びの後方移動とIPR(ストリッピング)で改善しました。抜歯は行っていませんが、前歯を2〜3mm後ろに引っ込ませる事ができました。上下の前歯の正中線もおおよそ合わせる事ができました。
重度叢生・高校生女子・IPR

<顔のビフォーアフター>





<症例概要>
主訴:前歯の不ぞろい
年齢・性別:中学生女子
住まい:千葉県八千代市
症状:叢生・クロスバイト
治療方針:歯列拡大・ストリッピング
治療装置:マウスピース型矯正装置(アライナー装置)
治療期間:2年0か月
アライナー枚数:53+33+20ステージ(5〜7日交換)
リテーナー:上下クリアタイプ+フィックスタイプ
治療費用:990,000(税込)
代表的副作用:痛み・治療後の後戻り・歯根吸収・歯髄壊死・歯肉退縮
▶︎その他の副作用
【治療シミュレーション】
上下全体にIPRを行ったスペースを有効利用して歯を並べています。
※マウスピース型矯正歯科装置(インビザライン)は、完成物薬機法対象外の矯正装置であり、医薬品副作用被害救済制度の対象とはならない可能性があります。

一般的には抜歯矯正治療になるタイプの歯並びと横顔ですが、歯のサイズが大きかったためIPRを利用して非抜歯矯正治療で改善しました。
重度叢生・30代女性・抜歯あり

<顔のビフォーアフター>





<症例概要>
主訴:前歯のでこぼこ
住まい:千葉県我孫子市
年齢・性別:30代女性
症状:叢生・クロスバイト・上下顎前突
治療方針:抜歯空隙閉鎖・IPR
治療装置:マウスピース型矯正装置(アライナー装置)
抜歯:上下第一小臼歯(計4本)
治療期間:2年1か月
アライナー枚数:31+26+23ステージ (7日交換)
リテーナー:上下プレートタイプ+上下フィックスタイプ
治療費用:990,000(税込)
代表的副作用:痛み・治療後の後戻り・歯根吸収・歯髄壊死・歯肉退縮
▶︎その他の副作用
【治療シミュレーション】
上下の小臼歯抜歯スペースに前歯をゆっくり移動させる計画です。
※マウスピース型矯正歯科装置(インビザライン)は、完成物薬機法対象外の矯正装置であり、医薬品副作用被害救済制度の対象とはならない可能性があります。

横顔の輪郭の変化も希望されたため、小臼歯抜歯を併用したマウスピース型矯正治療を行いました。最終段階で重要な顎間ゴムをしっかりと使用してくれたので、治療後も奥歯の噛み合わせが崩れる事なく治療を完成させる事ができました。
重度叢生・20代女性・抜歯あり

<顔のビフォーアフター>





<症例概要>
主訴:前歯の歯並び
住まい:千葉県八千代市
年齢・性別:20代女性
症状:叢生・クロスバイト
治療方針:抜歯空隙閉鎖
治療装置:マウスピース型矯正装置(アライナー装置)
抜歯:上第一小臼歯・下第二小臼歯(計4本)
治療期間:1年9か月
アライナー枚数:38+24+20ステージ (7日交換)
リテーナー:上下プレートタイプ+上下フィックスタイプ
治療費用:990,000(税込)
代表的副作用:痛み・治療後の後戻り・歯根吸収・歯髄壊死・歯肉退縮
▶︎その他の副作用
【治療シミュレーション】
上下の小臼歯抜歯スペースに前歯をゆっくり移動させる計画です。
※マウスピース型矯正歯科装置(インビザライン)は、完成物薬機法対象外の矯正装置であり、医薬品副作用被害救済制度の対象とはならない可能性があります。

重度のでこぼこにより上下の正中線がかなりずれているケースです。小臼歯を4本抜歯して得られたスペースをうまく使用して、歯並びを完成させました。抜歯症例が苦手と言われているマウスピース型矯正治療でも、でこぼこが多いケースの場合は、割と上手く治ります。
八重歯・高校生女子・抜歯あり

<顔のビフォーアフター>





<症例概要>
主訴:前歯のでこぼこ
年齢・性別:高校生女子
住まい:千葉県八千代市
症状:叢生・上下顎前突
治療方針:抜歯空隙の閉鎖(最大固定)
治療装置:マウスピース型矯正装置(アライナー装置)
抜歯:上下第一小臼歯(計4本)
治療期間:2年2か月
アライナー枚数:54+37ステージ (5〜14日交換)
リテーナー:上プレートタイプ+下フィックスタイプ
治療費用:990,000(税込)
代表的副作用:痛み・治療後の後戻り・歯根吸収・歯髄壊死・歯肉退縮
▶︎その他の副作用
【治療シミュレーション】
上下の小臼歯抜歯スペースに八重歯を動かした後に前歯を移動させる計画です。
※マウスピース型矯正歯科装置(インビザライン)は、完成物薬機法対象外の矯正装置であり、医薬品副作用被害救済制度の対象とはならない可能性があります。

八重歯が目立つ、重度の叢生症状です。マウスピース型矯正装置は非抜歯方針が向いているのですが、このように重度のスペース不足が場合は、ワイヤー型矯正治療では通法の上下小臼歯抜歯を行う事もあります。前に出ていた前歯も後ろに引っ込み、お顔の印象が大きく変わりました。
叢生・高校生女子

<顔のビフォーアフター>





<症例概要>
主訴:出っ歯
年齢・性別:高校生女性
住まい:千葉県八千代市
症状:叢生
治療方針:上顎後方移動+ストリッピング
治療装置:マウスピース型矯正装置(アライナー装置)
治療期間:1年9か月
アライナー枚数:35+26+13ステージ(7日交換)
リテーナー:上下フィックスタイプ+クリアタイプ
治療費用:990,000(税込)
代表的副作用:痛み・治療後の後戻り・歯根吸収・歯髄壊死・歯肉退縮
▶︎その他の副作用
【治療シミュレーション】
歯列拡大と上奥歯の後方移動によりスペースを作り、八重歯を下方に引っ張る方針です。
※マウスピース型矯正歯科装置(インビザライン)は、完成物薬機法対象外の矯正装置であり、医薬品副作用被害救済制度の対象とはならない可能性があります。
クロスバイト・大学生女性

<顔のビフォーアフター>





<症例概要>
主訴:前歯の歯並び
住まい:千葉県八千代市
年齢・性別:大学生女性
症状:叢生
治療方針:上下顎前歯圧下・IPR
治療装置:マウスピース型矯正装置(アライナー装置)
治療期間:1年1か月
アライナー枚数:33+20ステージ (7日交換)
リテーナー:上下クリアタイプ+上下フィックスタイプ
治療費用:990,000(税込)
代表的副作用:痛み・治療後の後戻り・歯根吸収・歯髄壊死・歯肉退縮
▶︎その他の副作用
【治療シミュレーション】
上下の前歯をねじれを取りながら歯茎方向に沈める方針です。
※マウスピース型矯正歯科装置(インビザライン)は、完成物薬機法対象外の矯正装置であり、医薬品副作用被害救済制度の対象とはならない可能性があります。

上の前歯と引っかかっている左下前歯が前に押され、歯茎が下がりかけている状態です。矯正治療で上下の噛み合わせを正常に改善する事で歯茎の状態も大分良くなりました。もちろんスマイルも向上しました!治療期間も短く患者さんは大満足でした。
叢生・クロスバイト・大学生女性

<顔のビフォーアフター>





<症例概要>
主訴:前歯の歯並び
住まい:千葉県八千代市
年齢・性別:大学生女性
症状:叢生
治療方針:上顎後方移動・ストリッピング
治療装置:マウスピース型矯正装置(アライナー装置)
治療期間:1年8か月
アライナー枚数:41+29+9ステージ (7日交換)
リテーナー:上下クリアタイプ+上下フィックスタイプ
治療費用:990,000(税込)
代表的副作用:痛み・治療後の後戻り・歯根吸収・歯髄壊死・歯肉退縮
▶︎その他の副作用
【治療シミュレーション】
歯列拡大を行い、後ろ側にある2番目の上の前歯を前方に押し出す方針です。
※マウスピース型矯正歯科装置(インビザライン)は、完成物薬機法対象外の矯正装置であり、医薬品副作用被害救済制度の対象とはならない可能性があります。

前歯の歯並びが気になるという事で矯正治療を希望された患者さんです。非抜歯での治療を希望されており、出っ歯傾向もなかったため症例的にも適応症であったため、マウスピース型矯正装置で治療を行いました。上の矮小歯と呼ばれる小さい前歯のコントロールが難しかったです。
前歯のねじれ・30代女性

<顔のビフォーアフター>





<症例概要>
主訴:前歯がねじれている
住まい:千葉県八千代市
年齢・性別:30代女性
症状:叢生
治療方針:上顎後方移動・ストリッピング
治療装置:マウスピース型矯正装置(アライナー装置)
治療期間:2年3か月
アライナー枚数:53+35+13+12ステージ (7日交換)
リテーナー:上プレートタイプ+下フィックスタイプ
治療費用:990,000(税込)
代表的副作用:痛み・治療後の後戻り・歯根吸収・歯髄壊死・歯肉退縮
▶︎その他の副作用
【治療シミュレーション】
ねじれている前歯をゆっくりと回転させる計画です。
※マウスピース型矯正歯科装置(インビザライン)は、完成物薬機法対象外の矯正装置であり、医薬品副作用被害救済制度の対象とはならない可能性があります。

捻転と呼ばれるねじれている歯の改善は、マウスピース型矯正装置で難しいと言われています。その理由は、マウスピースの中で歯が沈みながら空回りしてしまうからです。案の定、このケースも予想以上に治療期間を要してしまいましたが、諦めずしっかりとマウスピースを装着していただけたので、マウスピースの枚数は多くなりましたら、無事治す事ができました。
上顎前突・大学生女性

<顔のビフォーアフター>





<症例概要>
主訴:出っ歯
住まい:千葉県八千代市
年齢・性別:大学生女性
症状:叢生
治療方針:上顎後方移動・ストリッピング
抜歯:上顎両側親知らず
治療装置:マウスピース型矯正装置(アライナー装置)
治療期間:1年11か月
アライナー枚数:40+31+13ステージ (7日交換)
リテーナー:上下クリアタイプ+上下フィックスタイプ
治療費用:990,000(税込)
代表的副作用:痛み・治療後の後戻り・歯根吸収・歯髄壊死・歯肉退縮
▶︎その他の副作用
【治療シミュレーション】
歯を抜かずにでIPRのみできる限り前歯を後方移動させる計画です。
※マウスピース型矯正歯科装置(インビザライン)は、完成物薬機法対象外の矯正装置であり、医薬品副作用被害救済制度の対象とはならない可能性があります。

IPR(ストリッピング)と呼ばれる歯にやすりをかける方法で、前歯を後ろに引っ込めるスペースを作りました。全周にわたって各歯の隙間に0.5mm程度IPRを行う事で、歯を抜かずに4mm程度上の前歯を後ろに引っ込める事ができました。
八重歯・大学生女子・追加アライナーなし

<顔のビフォーアフター>





<症例概要>
主訴:八重歯
年齢・性別:10代大学生女性
住まい:千葉県八千代市
症状:叢生
治療方針:上顎歯列後方移動、ストリッピング
治療装置:マウスピース型矯正装置(アライナー装置)
治療期間:1年4か月
アライナー枚数:39ステージ(10日交換)
リテーナー:上下フィックスリテーナー・ビベラリテーナー
治療費用:990,000(税込)
代表的副作用:痛み・治療後の後戻り・歯根吸収・歯髄壊死・歯肉退縮
▶︎その他の副作用
【治療シミュレーション】
前歯のアタッチメントを増やし、追加アライナーが必要ないような計画にしています。
※マウスピース型矯正歯科装置(インビザライン)は、完成物薬機法対象外の矯正装置であり、医薬品副作用被害救済制度の対象とはならない可能性があります。

八重歯ぎみになっている上の犬歯と下の前歯の不揃いを気にされて、矯正治療を開始しました。マウスピース型矯正装置の装着時間が大変良かったため、予定より短期間で終了する事ができました。保護者の方と患者さんは最初、本当にマウスピースで治るのか不安に思っていましたが、実際は問題なくしっかり治り、安心されていました。
【矯正歯科治療に伴うリスクや副作用】
- 治療開始直後は矯正装置による不快感、痛み等があります。1、2 週間以内で慣れることが多いです。
- 歯の動き方には個人差があります。予想された治療期間が延長する可能性があります。
- 矯正装置の使用、管理、定期的な通院など、矯正治療には患者さんの協力が治療結果や治療期間に影響します。
- 治療中は、むし歯や歯周病のリスクが高まりますので、丁寧に磨いたり、定期的なメンテナンスを受けたりすることが重要です。また、歯が動くと隠れていたむし歯が発見されることもあります。
- 歯を動かすことにより歯根が吸収して短くなることがあります。また、歯ぐきが下がることがあります。
- ごくまれに歯が骨と癒着していて歯が動かないことがあります。
- ごくまれに歯を動かすことで神経が障害を受けて壊死することがあります。
- 治療途中に金属等のアレルギー症状が出ることがあります。
- 治療中に「顎関節で音が鳴る、あごが痛い、口が開けにくい」などの顎関節症状が出ることがあります。
- 治療中に状況が変わり、当初予定した治療計画を変更する可能性があります。
- 歯の形を修正したり、咬み合わせの微調整を行ったりする可能性があります。
- 矯正装置を誤飲する可能性があります。
- 矯正装置を外す時に、エナメル質に微小な亀裂が入る可能性や、かぶせ物(補綴物)の一部が破損する可能性があります。
- 治療終了後、リテーナーを指示通り使用しないと後戻りが生じる可能性が高くなります。
- 治療終了後、現在の咬み合わせに合った状態のかぶせ物(補綴物)やむし歯の治療(修復物)などをやりなおす可能性があります。
- 10代のあごの成長発育によりかみ合わせや歯並びが変化する可能性があります。
- 治療後に親知らずの影響で歯並びが変化することがあります。。加齢や歯周病等により歯を支えている骨がやせるとかみ合わせや歯並びが変化することがあります。その場合、再治療等が必要になることがあります。
- 矯正歯科治療は、一度始めると元の状態に戻すことは難しくなります。
- ※その他の副作用とリスクについて▶︎


















